Your Trusted Dentists in Alexandria, VA

Meet Dr. Carla Leon

A native of Peru, Dr. Leon is dedicated to providing exceptional dental care with a patient-focused approach. She values open communication and ensures that each patient fully understands their treatment options. With a commitment to respect and compassion, she strives to create a comfortable and welcoming environment. Dr. Leon takes pride in helping patients achieve healthy, confident smiles through personalized care and attention to detail. Her dedication to excellence sets her apart in the field.

Meet Dr. Rochelle Watson

Dr. Watson is a board certified orthodontist recognized for her dedication to exceptional care and patient satisfaction. She provides high-quality, individualized orthodontic solutions designed to improve both oral health and confidence. With extensive clinical experience and active involvement in professional and academic communities, Dr. Watson brings a thoughtful, detail-oriented approach to every treatment. Her focus on precision, comfort and long-term results ensures that each patient receives care in a welcoming, supportive environment built on trust, expertise and compassion.

Dr. Leon at [practice_name
Dr. Watson at [practice_name

Explore Our Dental Services

Dr. Leon and Dr. Watson provide a wide range of dental services designed to support your unique needs and long-term oral health. From routine cleanings and exams to advanced restorative care, including crowns, bridges and full-mouth restorations, you can count on treatment options for every stage of your smile. Whether you want to enhance the appearance of your teeth or simply protect what you have, our team combines modern technology with attentive, personalized treatment planning. Visit our dentists in Alexandria, VA, and learn how comfortable, comprehensive care can help you maintain a healthier, brighter smile for life!

View All Services

Our Skilled And Caring Team

Our team at Telegraph Dentists is committed to delivering exceptional dental care with genuine compassion. We believe that creating a positive experience begins with trust, communication and respect. Our dedicated Alexandria, Virginia, dentists and team take time to listen, educate and ensure you feel at ease during every visit. With extensive training and a patient-first approach, we provide care that meets the highest standards of quality. We proudly serve patients of all ages, offering personalized care in a friendly and modern setting where your smile and comfort are always the focus.

Your Smile Starts Here

Schedule Your Visit With Us Today

Choosing the right dental home matters, and Telegraph Dentists is here to make that decision simple. Our dentists in Alexandria, VA, provide expert care in a relaxed, welcoming environment where you can feel at ease. From your first phone call to every exam, cleaning and follow-up visit, your comfort and confidence remain our priority. Our friendly team is proud to care for children, teens, adults and seniors throughout the community, offering personalized attention at every stage of life. Let us help you achieve the healthy, confident smile you deserve. Contact our office today to schedule your visit!

703-313-6999

Patient Testimonials

Real Reviews, Real Smiles

Our patients’ stories speak louder than words, and we are grateful for the thoughtful reviews they share. Each testimonial reflects our commitment to compassionate care, clear communication and clinical excellence. From life-changing smile transformations through orthodontic, cosmetic and restorative treatments to gentle, comfortable cleanings and checkups, patients trust our Alexandria dentists to provide high-quality experiences at every visit. We take pride in creating a welcoming environment where you feel heard, respected and confident in your care. We invite you to explore real feedback from people who have visited our office and left with smiles they truly love. Reach out today to schedule your personal consultation!

All around amazing team. Reception staff, support staff, and the dentist—all of them were amazing and each went above and beyond to address my needs during the visit. I wholeheartedly recommend Telegraph Dentists to anyone with teeth!

C D

We are so happy with both the dental and orthodontic care we get at Telegraph Dentists! Five star both in customer care and in professional support of our oral health! Highly recommend!

Heidi H.

Dr.Leon is very friendly and makes you feel very comfortable even during painful or uncomfortable procedures. Definitely going to stick with Telegraph Dentists

Riyasat A.

What more can I tell you, I have been going to telegraph dentist since I was 15 years old and I’m 30 now! I truly love how the staff welcomes you in with a warm smiles. Also the doctors are very professional and gentle, I’m yet to come home with a sore gum lol. If you are looking for a great dentists you’ve found the right place to go! Thank you Dr. Leon!

Alberto L.

Read More Reviews

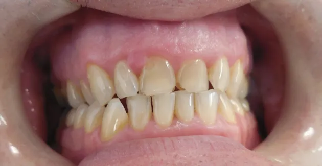
Smile Transformations

Stunning Before and After Transformations

Seeing is believing, and our smile gallery highlights the beautiful results achieved by our dentists in Alexandria, VA. Each photo represents a real patient and a treatment plan tailored to their goals, comfort and oral health needs. From subtle cosmetic enhancements to more complete restorative improvements, these transformations reflect advanced techniques, careful planning and a genuine commitment to patient satisfaction. We are proud to share outcomes that restore function, boost confidence and help patients enjoy smiling again. Take a moment to explore our gallery and imagine what your smile could become. Call today to schedule an appointment and learn what is possible when skill, technology and artistry work together.

Before Before cosmetic dentistry
After After cosmetic dentistry