Our dentists and associates, Dr. Leon and Dr. Watson, at Telegraph Dentists are proud of the smiles that we have created. We see patients as young as four, along with their parents and even their grandparents. You can see some of the healthy, beautiful smiles that have come through our dental office in Alexandria, Virginia, over the years on this page. If you are ready for a new smile that would look great in our gallery, call 703-313-6999 today for your appointment.

Crowns

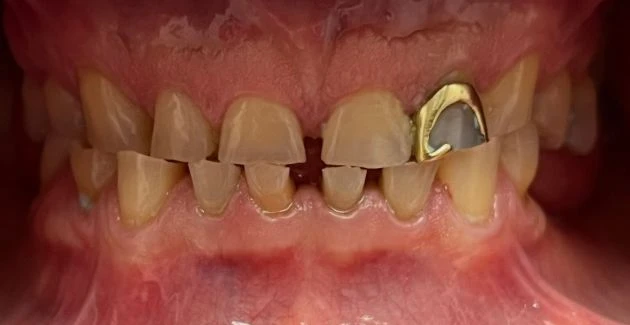
Please explore our before and after photos of dental crowns to see how this dental restoration improves the smiles and oral health of our patients. To learn more, please give us a call today!

Before

After


Implants

Dental implants are considered the ideal option for replacing missing teeth. We invite you to check out our gallery to see how implants have transformed our patients’ smiles. Reach out today to learn more!

Before

After


Braces

Braces are a tried-and-true option for aligning your teeth and achieving a beautiful, balanced smile. Check out the results we have helped our patients achieve with this treatment! Call today to find out more.

Before

After


Invisalign® Clear Aligners

Invisalign clear aligners can treat all the same problems as braces, giving you a beautiful smile without the use of metal brackets and wires. View our gallery to see how Invisalign aligners have improved our patients’ smiles!

Before

After